当院は、診断から検査までを早く、正確な診断を行い、適切な治療につなぐ、胃・大腸の内視鏡検査を行っています。
検査時の痛みを少なく、昨日あるいは当日の排便時出血で受診された場合、その日のうちに直腸、S状結腸までの大腸カメラ検査を行います。直腸に病変があれば、その時点で出血源がわかります。そしてその出血源が腫瘍なのか痔なのか、それともそれ以外なのかなども同時にわかります。病変がわかれば治療にとりかかることができます。
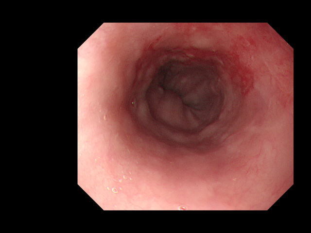
食道がん
食道がんについて

国立がん研究センターがん情報サービスより引用。
食道の壁は、図のように、粘膜(粘膜上皮・粘膜固有層・粘膜筋板)、粘膜下層、固有筋層、外膜の層構造より成っています。癌はこの中の粘膜からできます。がんは、粘膜から粘膜下層、固有筋層、外膜、さらにその外がわに、拡がっていきます。特に、食道の周囲には、大動脈や気管があり、出血や肺炎につながることもあります。
症状
比較的早期のうちは無症状ですが、進行してくると食道が狭くなって食べ物がつかえたり、飲み込めないなどの症状が起こります。このため、食事量が減り、体重が減ってくることもあります。その他、潰瘍が深くなると前胸部の痛みや食事をするとしみたり、熱くなるといった症状が出現することがあります。早期発見のためには、人間ドックや検診などで無症状のうちに見つけることが重要です。
頻度
食道がんと新たに診断される人の数は、一年間に10万人あたり18人、男女でいくと男性が5倍発生しています。
関連
飲酒と喫煙が関係があるといわれています。また、熱いものを食べたり、飲んだりすることも関係があります。
検査・診断について
消化管内視鏡検査(胃カメラ)やバリウムを用いた消化管造影を行って検査します。内視鏡検査は、直接病変を確認し、病変の性状、拡がり、などを観察するとともに、生検をして、組織をとり、病理検査で、確定診断を行う重要な検査です。消化管造影で、病変の位置や全体像などがわかり、内視鏡が通過しない病変では、狭窄の向こう側の食道下部や胃などの状態がわかります。その他、CTやMRI検査では、病変の周囲への拡がり、あるいは、遠隔転移の有無、内視鏡もバリウムも通過しない病変では、ある程度、狭窄の向こう側の病変の拡がりがわかります。


治療について
粘膜にとどまるものは、内視鏡を用いて、粘膜切除を行います。それより、進行した癌は、
外科的切除、化学療法、放射線療法を組み合わせた治療が行われます。